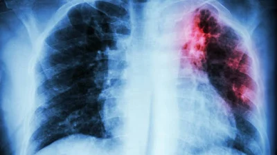
Una de las secuelas que podría dejar el covid-19 es la fibrosis pulmonar, una enfermedad que se caracteriza por el endurecimiento de las paredes de los pulmones y que dificulta su buen funcionamiento.
San Juan 19:13 13/3/2020 - RedacciónSJ
De los más de 120.000 contagiados con coronavirus en el mundo, más de la mitad se curó. Sin embargo, los primeros estudios en pacientes que han logrado sobrevivir al covid-19 indican que han tenido daño pulmonar.
Así lo señaló Owen Tsang Tak-yin, director médico del Centro de Enfermedades Infecciosas en el Hospital Princesa Margarita de Kwai Chung, en Hong Hong, donde se han percatado que los pacientes han perdido entre el 20 y 30% de la capacidad pulmonar, según señala Business Insider.
"Tienen dificultades para respirar cuando caminan un poco más rápido. Algunos pacientes pueden tener una reducción de su capacidad pulmonar de entre el 20 y 30 % después de su recuperación", señaló Tsang Tak-yin este jueves.
Una de las secuelas que podría dejar el covid-19 es la fibrosis pulmonar, una enfermedad que se caracteriza por el endurecimiento de las paredes de los pulmones y que dificulta su buen funcionamiento.
Tsang recomendó realizar actividad física, como por ejemplo, natación, la que ayuda a recuperar la capacidad pulmonar perdida por el coronavirus.
